確実性・安全性の向上
術前にコンピューターで行った詳細なシミュレーションを、実際の処置で正確に再現できることが、サージカルガイドの大きな利点です。
歯科医師の経験や勘だけに頼るのではなく、ガイドがインプラントを埋め込む深さや角度を計画通りに導きます。精密な処置を計画通りに進められるため、万が一のトラブルのリスクが限りなく抑えられ、治療の成功率が高まるのです。
Implant

Implant
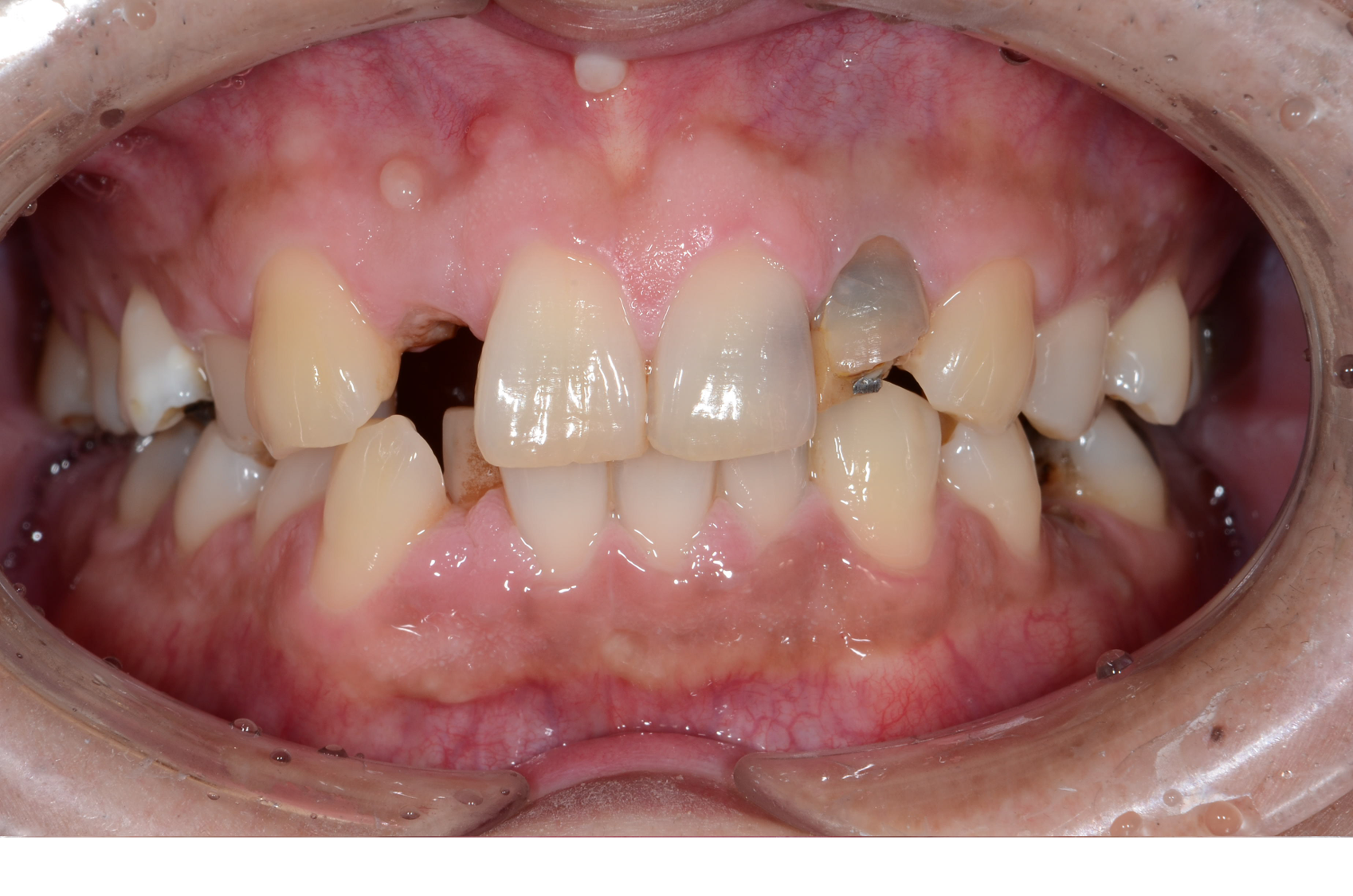
インプラント治療は、顎の骨に人工の歯根を埋め込み、その上にセラミック製の人工歯を装着する方法です。金属と骨が結合する性質を利用しているので、噛む力がしっかりと伝わります。食事を楽しむことができるほか、発音もしやすくなります。
また、隣の歯を削る必要がないため、他の歯への影響が少ないのもメリットです。しかし、外科的な手術が必要で、治療期間が長くなることや、全身の健康状態によっては適応できない場合があります。
レントゲン・CT撮影などの検査を行い、治療の計画を立案します。
局所麻酔をかけて、インプラントを入れる手術を行います。入院は不要で通院による治療が可能です。
インプラントと骨が統合するまで2〜7ケ月程経過を観察します。統合までの期間はインプラントの種類、骨の状態、体調によって異なります。
最終的な人工歯を装着する際は、まず精密な型取りを行います。噛み合わせの微妙なバランスまで正確に記録し、周囲の歯と調和する自然な歯を作製。
完成した人工歯をインプラント体にしっかりと固定させて、機能と美しさの両方を回復させます。
インプラントを末永く快適に保つために、歯と歯茎の健康を維持する必要があります。ご家庭では自分の歯と同じようにお手入れを心掛けましょう。そして必ず歯科医師による定期的なチェックと歯科衛生士のプロ・ケアを受診しましょう。
01

当院では、インプラント治療の経験が豊富で、高い専門性を持つ歯科医師が手術を担当します。担当医は、日本口腔インプラント学会専門医として認定を受けており、学会や研修会での発表実績も多数あります。専門的な知識と技術をもとに、安全で質の高いインプラント治療を提供しています。
02

当院では、CTやシミュレーションソフトで得られたデータをもとに、専用のサージカルガイドを作製し、インプラント手術を行っています。このマウスピース型のガイドを口腔内に装着し、開口部から正確な位置・角度・深さにインプラントを埋入することで、手術の安全性・精度を大幅に向上させます。また、歯肉や骨への侵襲が少なく、身体への負担軽減や治療期間の短縮にもつながります。
術前にコンピューターで行った詳細なシミュレーションを、実際の処置で正確に再現できることが、サージカルガイドの大きな利点です。
歯科医師の経験や勘だけに頼るのではなく、ガイドがインプラントを埋め込む深さや角度を計画通りに導きます。精密な処置を計画通りに進められるため、万が一のトラブルのリスクが限りなく抑えられ、治療の成功率が高まるのです。
精密な治療計画は、身体に負担の少ない処置の選択を可能にします。
お口の状態によっては、歯茎を大きく切開せず、小さな穴を開けるだけで処置を終えられるケースも増えました。手術による腫れや痛みを最小限に抑えられるため、多くの方が翌日から普段通りの生活を送られています。
これまで、顎の骨の量が不足していたり、神経の位置が近かったりすると、インプラント治療は困難と判断されることがありました。
サージカルガイドを用いれば、CTによる三次元データ上でこれらの危険な領域を正確に避け、骨が残っている良好な位置を見極めた上で、精密な治療計画を立てられます。
その結果、従来は難しかった症例にも対応できるようになったのです。
1
安全なインプラント治療は、お口の状態を立体的に把握することから始まります。当院では歯科用CTを用い、従来のレントゲンでは見えない顎の骨の厚みや硬さ、神経や血管の正確な位置まで精密に診断いたします。この3次元の詳細なデータが、後の精密な治療計画の土台となるのです。
2
CTデータを基に、コンピューター上でインプラント治療のシミュレーションを重ねます。どの位置に、どの角度で、どれくらいの深さまでインプラントを埋入するか、リスクを回避しながら適切なプランを決定します。治療後の状態を患者様とビジュアルで共有できるため、納得していただいた上で治療を進めることが可能です。
3
決定したシミュレーション計画を、実際の手術で寸分違わず再現するために、患者様専用のサージカルガイドを作製いたします。これはお口に装着する樹脂製のマウスピースのような装置で、インプラントを埋入する正確な位置と角度が示されています。
4
手術当日は、作製したサージカルガイドをお口に固定して処置を進めます。ガイドにはインプラントを入れるための小さな穴が開いており、医師はそれに沿ってドリル操作を行います。フリーハンドの手術とは異なり、計画通りの位置へ確実にインプラントを導けるため、神経や血管を傷つけるリスクを最小限に抑えた安全な治療が実現できるのです。

Before

After
| 治療内容 | インプラント手術とオールセラミックによる審美治療を行いました。 |
|---|---|
| 治療期間・回数 | 2ヶ月半・5回 |
| 治療費用 | 330,000円(税込) |
| リスク・副作用 | ・術後に痛み・腫れ・出血・合併症を伴う可能性があります。 ・術後も定期的なメインテナンスをしないと、機能が落ちやすくなります。 ・保険適用ができない自費診療です。 |

インプラント治療は、顎の骨に人工歯根を埋入するため、土台となる骨の量(厚みや高さ)が十分にあることが前提となります。歯周病の進行や、歯が抜けて長期間放置したことなどが原因で骨が痩せてしまった場合、そのままでは治療ができません。
骨造成とは、特殊な材料を用いて骨が足りない部分を補い、ご自身の骨の再生を促す治療法です。インプラント治療が困難と診断された方でも、安全な治療に必要な土台を整えることが可能になります。つまり、安心安全にインプラント治療を行うための適応範囲が広がります。
上の奥歯の上部には上顎洞という空洞があります。骨が痩せると、この空洞までの距離が近くなり、インプラントを入れる十分な高さを確保できません。
ソケットリフトは、骨の不足が比較的少ない場合に用いられる方法です。インプラントを入れるために開けた穴から、上顎洞の底にある膜を慎重に押し上げ、できた隙間に骨を補う材料を詰めます。インプラントの埋入と同時に行えることも多く、患者様の身体的な負担を抑えられるのが特徴です。
ソケットリフトでは対応できないほど、広範囲にわたって上顎の骨が不足している場合に選択される方法です。歯茎の側面から窓を開けるようにして、上顎洞の膜を直接目で確認しながら大きく持ち上げます。
そこに多くの骨を補う材料を充填し、骨が再生するための広いスペースを作ります。骨が作られるのを待つ期間が別途必要になることもありますが、重度の骨吸収がある難症例でもインプラント治療を可能にする治療法です。
GBRは、主に骨の幅や高さが足りない場合に用いられる技術です。骨を増やしたい部分に骨を補う材料を置き、その上をメンブレンという特殊な膜で覆います。
この膜がバリアとなり、骨の再生を妨げる歯肉などの軟組織が入ってくるのを防ぎます。膜の内側で骨の再生が優先的に進むため、インプラントを支えるのに十分な骨の量を獲得できるのです。上顎だけでなく、下顎や抜歯と同時に行えるケースもあり、汎用性の高い方法です。
インプラント治療はすべての方に適応できるわけではなく、当院では安全性を最優先に治療の可否を慎重に判断しております。例えば、心筋梗塞や脳梗塞を発症して間もない方、重度の骨粗鬆症で特定の薬剤を長く服用中の方は、治療のリスクが高まるため原則として行えません。
ほかにも放射線治療中の方や、重度の糖尿病、妊娠中の方も適応外となることがあります。ただし、お体の状態が安定している場合は、条件付きで治療が行える例もありますので、まずはご相談ください。顎の骨が極端に少ない場合でも、骨を増やす処置により対応できる可能性があります。
失った歯の機能と見た目を、できるだけ自然な形で取り戻したいと望む方に適した治療法です。特に歯のエナメル質を削ることに拒否感の強い方、入れ歯のずれや違和感にお悩みの方におすすめしています。
また前歯を失ってしまった場合の審美性の回復にも、奥歯を失った場合の噛む力の回復にも、インプラントは優れた解決策となります。
インプラント治療は、顎の骨と人工歯根が結合するのを待つ期間が必要です。そのため、処置が完了するまでには一定の時間がかかります。標準的な通院回数は4回から8回程度、全体の期間は2ヶ月から7ヶ月ほどが目安です。
ただし、骨を増やす処置(骨造成)を併用する場合は、新しく作った骨が安定するのを待つため、さらに数ヶ月の治癒期間が追加で必要となります。治療スケジュールには多少の幅がございますので、詳しくは担当医にお尋ねください。
手術中は局所麻酔を適切に使用するため、処置に伴う痛みを感じることはありません。当院では、患者様の不安を和らげることを大切にしており、緊張が強い方にはリラックス効果のある内服薬をお出しすることも可能です。
手術の後に多少の痛みや腫れが出ることがありますが、処方する鎮痛剤で十分に管理できる範囲です。
はい、ご自身の歯とほとんど変わらない感覚で、食事を楽しんでいただけます。
これまで避けていたような、硬いお煎餅や歯ごたえのある沢庵なども、しっかりと噛み切ることが可能です。食べたいものを我慢せずに味わえる喜びは、日々の生活に大きな充実感をもたらします。