Aesthetic
審美歯科・ホワイトニング
審美歯科について

Aesthetic
自然な口元で笑顔に自信を
審美歯科とは、歯並びや歯の色、歯の形を整えることはもちろんのこと、各個人の顔や表情、残存している歯の本数などを考慮した上で行う総合的な歯科治療です。
変色した歯を天然歯のような色に修復したり、欠けてしまった歯や、歯と歯の間が開いている歯を、歯並びの良い口元に修復します。
歯には機能的な側面と、審美的な側面がありますが、ともに健康に関しては重要な要素であり、本来はどちらかを犠牲にするということはできません。
当院では美しさだけを追求するのではなく口腔内にある本来の機能も重視し、しっかりとした知識と技術による専門的な治療を行っております。
白い詰め物・被せ物のメリット
白い詰め物・被せ物には、見た目の美しさだけでなく、機能面でも多くのメリットがあります。
- 01 天然歯のような美しい仕上がり
- セラミック素材を使用することで、色や透明感、質感まで天然歯に近い自然な見た目を再現できます。まわりの歯ともなじみやすく、治療跡が目立ちにくいのが特長です。
- 02 変色や劣化に強い
- セラミックは変色や劣化に強く、日常の飲食や経年による影響を受けにくいため、長期間きれいな状態を維持できます。美しい見た目を保ちたい方にとって、信頼できる選択肢です。
- 03 虫歯の再発を防ぎやすい
- 金属やレジンは歯との間に隙間ができやすく、細菌が侵入して二次虫歯を引き起こすことがありますが、セラミックは変形しにくく隙間が生じにくいため、虫歯の再発リスクを抑えることができます。
- 04 金属アレルギーを起こしにくい
- 当院で使用するセラミック素材は、金属を含まないため、金属アレルギーの心配がほとんどありません。敏感な体質の方でも安心して治療を受けられる素材です。金属アレルギーによるトラブルを避けたい方におすすめしています。
白い詰め物・被せ物は
こんな方におすすめ
- 口元の印象を良くしたい方
- 歯の色や形が気になる方
- 詰め物や被せ物の見た目を自然にしたい方
- 長持ちする美しい治療を求めている方
- 金属アレルギーが気になる方
- 歯のすき間やデコボコを改善したい方
当院で扱う素材
オールセラミック
全てセラミックで作られた素材で、天然歯に近い透明感と色調を再現できます。金属を一切使用しないため、金属アレルギーのリスクもありません。特に前歯など、見た目を重視する部位に適しています。
| 料金 | 88,000~190,000円 |
|---|---|
| 治療期間・回数 | 0.5~2ケ月/3~5回 |
Merit
メリット
- 見た目は天然歯のように透明感があり、自然な色合いを再現できる。
- 汚れに強い。
- 金属アレルギーの心配がない。
- 耐久性があり、摩耗しにくい。
- 長期間の使用でも、着色や変色が少ない。
- 加工しやすい素材のため、精密さにこだわった治療ができる。
Demerit
デメリット
- 自費診療になるため、保険診療に比べ費用がかかる。
- 強い衝撃で破折・破損してしまうことがある。
- 奥歯のように噛む力が特に強い歯には使用が難しい。
- 強度を保つために、銀歯に比べると歯を削る量がやや多い。
e-max
e-maxは高い審美性と強度を兼ね備えたオールセラミック素材です。自然な透明感と色調を持ち、前歯から奥歯まで幅広く使用できます。金属を使用しないため、アレルギーの心配もありません。
| 料金 | 132,000~165,000円 |
|---|---|
| 治療期間・回数 | 0.5~2ケ月/3~5回 |
Merit
メリット
- 金属を使用していないため、金属アレルギーの心配がない。
- プラークが付きにくい素材なので、口腔環境を清潔に保てる。
- 変色しにくく、天然歯に近い色合いや透明度を持つことから、自然で美しい仕上がりになる。
- 天然歯に近い硬さを持つため、かみ合う歯にかかる負担を軽減できる。
Demerit
デメリット
- 保険が適用できないため自費診療になる。
- e-maxに強い力がかかると割れてしまう恐れがあるため、歯ぎしりや食いしばりが癖になっている患者様にはおすすめできない場合がある。
ジルコニアセラミック
非常に高い強度を持つセラミック素材で、奥歯のクラウンやブリッジにも適しています。金属アレルギーの心配がなく、長期間にわたり美しさと機能性を維持できます。変色もしにくく、耐久性に優れています。
| 料金 | 88,000~190,000円 |
|---|---|
| 治療期間・回数 | 0.5~2ケ月/3~5回 |
Merit
メリット
- 白く自然な透明感があり、装着している際の違和感がない。
- 金属アレルギーの心配がない。
- 長期使用した場合でも変色に強い。
- 金属やプラスチックよりも強度があり安心して使用できる。
- 高い耐久性を持っている。
- 汚れが付きにくく、外見もきれいな仕上がり。
Demerit
デメリット
- 強い衝撃を加えると表面が破折する恐れがある。
- 2重構造でクラウンに厚みが出るため、歯を削る量が多くなる場合がある。
- 保険が適用できないため自費診療になる。
- 調整が難しく、割れた場合は再治療が必要。
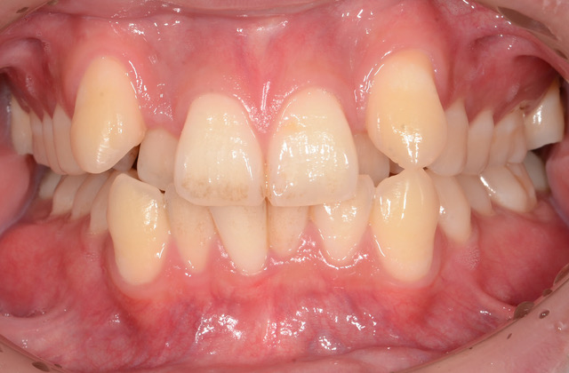
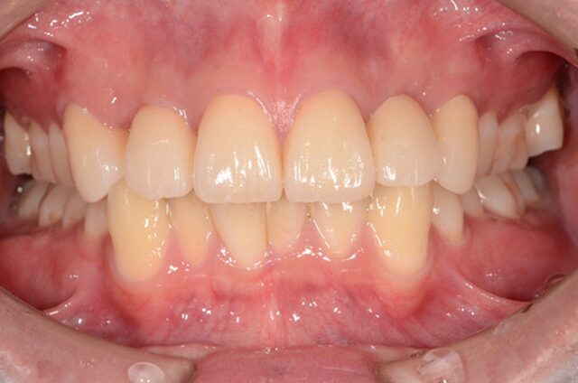
Case Introduction

Before

After
八重歯をオールセラミックブリッジにて改善した症例
| 治療内容 | オールセラミックブリッジによって、八重歯の歯並びを改善しました。 |
|---|---|
| 治療期間・回数 | 3ヶ月・7回 |
| 治療費用 | 660,000円(税込) |
| リスク・副作用 | ・平行性を確保して被せ物を製作するために、やむを得ず歯を抜いたり、歯の神経の治療を行う場合もあります。 ・保険適用ができない自費診療です。 |
ホワイトニングについて

Whitening
削らずに、白く美しい歯を
手に入れる
ホワイトニングは、歯を削らずに薬剤で歯を白くする方法です。歯を白く美しくすることで口元を気にすることなく自信と笑顔を取り戻すことができます。
歯が変色する原因には、先天的なもののほかに、たばこやカレー、コーヒー、お茶、赤ワインなどによる着色があります。これらは意識することで歯みがきでもそれなりに落とすことができますが、すべてきれいに落とす事はなかなかできません。また、加齢によってエナメル質の内部にまで沈着した色素や歯の黄ばみについては歯みがきでは落とすことはできません。
本来の歯の色以上に白く明るい色を手に入れたいという方には、ホワイトニングがおすすめです。
オフィスホワイトニング

歯科医院で専門家が行うホワイトニングで、短時間で効果を実感できます。高濃度の薬剤と特殊なライトを使用し、一度の施術でも明るさを感じられます。忙しい方や、すぐに結果を出したい方におすすめです。
| 料金 | 15,000~40,000円 |
|---|---|
| 治療期間・回数 | 1~3週間/1~3回 |
Merit
メリット
- 資格を持つ歯科医師・歯科衛生士が施術を担当するので、ムラが少ない仕上がりになる。
- 1回の施術でも、ホワイトニング効果を得やすい。
- 必要に応じて歯のクリーニングと同時に対応できる。
- 処置時に何か異常を覚えた時も適切な処置ができる。
Demerit
デメリット
- 自費診療になるため、保険診療に比べ費用がかかる。
- ホームホワイトニングに比べ、患者様によっては料金を割高に感じる場合がある。
- 歯の白さを保つには、繰り返しの来院が必要になる。
- 薬剤を使用する際、痛みを感じたり、沁みたりする場合がある。
ホームホワイトニング

ご自宅で自分のペースで進められるホワイトニング方法です。患者様専用のマウスピースを作製し、薬剤を注入して毎日一定時間装着します。時間をかけて徐々に白くしていくため、自然な仕上がりになります。通院回数を抑えたい方に適しています。
| 料金 | 30,000円 |
|---|---|
| 治療期間・回数 | 1~3ケ月/3~6回 |
Merit
メリット
- ご自宅でできるのでライフスタイルに合わせやすい。
- ホワイトニングの効果が持続しやすい。
- オフィスホワイトニングに比べ治療費が安い。
- 色戻りがしにくい。
Demerit
デメリット
- 自費診療になるため、保険診療に比べ費用がかかる。
- オフィスホワイトニングに比べ、薬剤の濃度を抑えているため、効果が見られるまで時間がかかる。
- オフィスホワイトニングに比べ、一回の使用時間が長くなる。
- ホワイトニング期間中、歯に色移りしやすい飲食物に気を付けなくてはいけない。
Case Introduction

Before

After
ホワイトニングの後、オールセラミッククラウン、セレックを用いた男性の場合
| 治療内容 | ホワイトニング治療後にオールセラミッククラウンとセレックによる審美治療を行いました。 |
|---|---|
| 治療期間・回数 | 1.5ヶ月・7回 |
| 治療費用 | 390,000円(税込) |
| リスク・副作用 | ・被せた歯でない場合、ホワイトニングの効果が約1年経過後から若干暗くなってくることもあり、その場合、再処置(有料)で受診される方がおられます。 ・保険適用ができない自費診療です。 |