Case
症例紹介

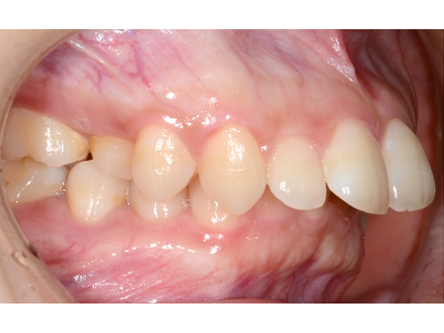
Before

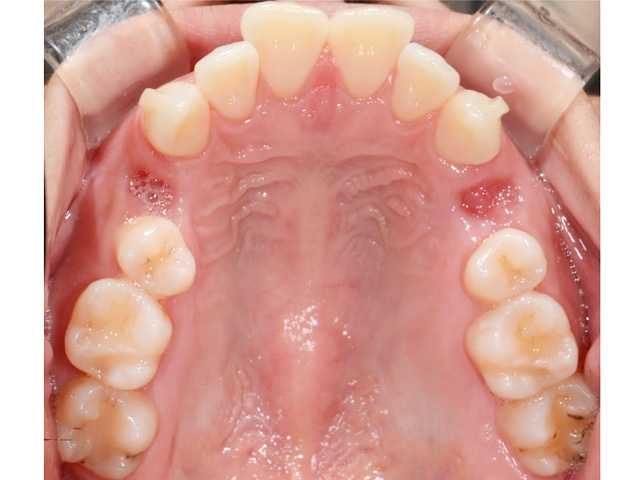
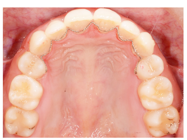
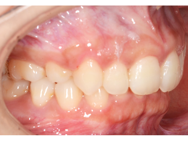
After
マウスピース矯正矯正治療
インビザライン症例②(抜歯が必要な場合)
| 治療内容 | 上の左右小臼歯を2本抜歯して、約3年でキレイな歯ならびに作り上げることができました。 |
|---|---|
| 治療期間・回数 | 3年・40回 |
| 治療費用 | 550,000円(税込) |
| リスク・副作用 | ・歯並び治療後の綺麗な状態を維持するために保定装置(リテーナー)を装着する必要があります。 ・保険適用ができない自費診療です。 |
治療経過
治療前


20代女性「上の前歯が出過ぎていて、唇が閉じれない。
歯ならびをキレイにしたいけれども、お仕事の都合で、針金等の目立つ装置は絶対にイヤです。」と当院に来られました。
治療計画シミュレーション


インビザラインの設計ソフトにて、上の小臼歯2本を抜歯する計画で術前、術後を検討しました。
抜歯治療


上の左右小臼歯を2本抜歯して、表に装置を着けることなく、約3年でキレイな歯ならびに作り上げることができました。
治療後


上の歯ならびがキレイに納まり、その結果唇がキチンと閉じる、キレイな横顔になることができ、大変満足して頂くことができました。
最後まで装置のことを周りの人に知られることなく、口元が完成したのも感動的でした。