Case
症例紹介

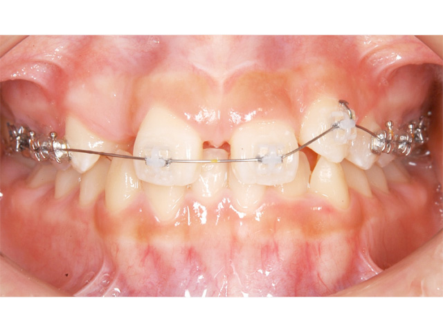
Before

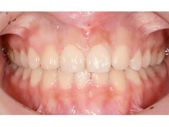
After
矯正治療
10代女性 前歯のすき間をキレイにしたい
| 治療内容 | 前歯の広いすき間に悩んで当院を受診されました。永久歯2本不足する上に、向かって左上の犬歯が骨の中に完全に埋まっていました。 |
|---|---|
| 治療期間・回数 | 2年6ヶ月・33回 |
| 治療費用 | 650,000円(税込) |
| リスク・副作用 | ・治療後の歯並びを守る保定装置は必須です。 ・保険適用ができない自費診療です。 |
治療経過
治療前


前歯の広いすき間に悩んで当院を受診されました。永久歯が2本不足する上に、向かって左上の犬歯が骨の中に完全に埋まっていました。
治療中


お口の天井部分を麻酔して開き、犬歯にフックをつけて矯正装置を用いて適正な位置まで移動させました。
治療後


約2年半の矯正治療で、とてもキレイな歯ならびになり、自信にあふれる輝くような笑顔を得ることができました。