Cerec
セレック

Cerec
セレック治療について
3D光学カメラによる光学印象を行い、コンピュータ上で設計~セラミックブロックをミリング(削る)して修復物を作製する最新の治療です。 短期間(最短1時間)で身体に優しいセラミックを使った修復物の装着が行う事ができ、修復物もより精緻に、より美しく再現できるようになっています。耐久性も必要十分で変色しません。また、治療費も従来よりもリーズナブルなレベルを実現しています。
セレック治療のメリット
- 01 最短1日で治療が完了
- 従来のセラミック治療では1ヶ月程度必要だった期間が、セレックなら最短1日に短縮されます。忙しい方にとって、時間の節約は大きな魅力となります。白く美しい歯を、その日のうちに手に入れられるのがメリットです。
- 02 印象(歯型取り)が不要
- 3D光学カメラで口腔内を瞬時にスキャンするため、嘔吐反射が強い方も安心して治療を受けられます。印象(歯型取り)が苦手な方にもおすすめです。
- 03 虫歯の再発を防ぎやすい
- セラミックは歯との適合性が極めて高く、接着力も優れています。銀歯のように経年劣化で隙間ができることがなく、二次虫歯のリスクを大幅に抑えられるのがメリットです。
- 04 自然な仕上がりと高い耐久性を実現
- 規格生産された高品質セラミックブロックを使用するため、強度と美しさを両立できます。変色しにくい特性により、適切なメインテナンスで長期間美しい状態を維持できます。
- 05 比較的費用負担が少ない
- 歯科技工所への外注が不要なため、作製コストを削減できます。コンピューターによる効率的な作製工程により、高品質なセラミック治療をよりリーズナブルな価格で提供可能となりました。
セレック治療はこんな方に
おすすめ
- 白く美しい歯を手に入れたい方
- 金属アレルギーが気になる方
- 早く治療を終えたい方
- 印象(型取り)に苦手意識のある方
- なるべく費用を安く抑えたい方
セレック治療の流れ
- Step1
患部の撮影
虫歯や古い修復物を取り除いた後、お口の中をデジタルスキャナー(光学カメラ)で撮影します。粘土の歯型取りとは異なり、不快感がなく、短時間で歯の精密な立体データを取得する工程です。
- Step2
歯の形と噛み合わせの調整・
修復物の設計スキャンしたデータは、即座に設計用のコンピューター画面に映し出されます。歯科医師が画面上で、周囲の歯との調和や噛み合わせをミクロン単位で調整し、理想的な修復物の形をデザインしていきます。
- Step3
修復物の加工・作製
設計されたデータに基づき、院内に設置されたセラミックを削り出す専用の機械が、自動で修復物を作製します。高品質なセラミックブロックから精密に削り出すため、均一な品質が保たれます。
- Step4
修復物を患部へ装着
完成したセラミックの修復物を、歯科医師が患者様の歯へ丁寧に適合させ、強力な接着技術を用いて装着します。噛み合わせの最終確認を行い、問題がなければ治療は完了です。
当院のセレック治療
Point

セレック国際インストラクターの医師が担当
当院では、セレックの国際インストラクター資格を持つ歯科医師が治療を担当します。セレックシステムに関する豊富な知識と高い技術力により、精度の高い審美修復をスピーディーにご提供。技術指導を行う立場の医師が対応することで、安心して治療を受けていただけます。
セレック治療の詳細
料金
-
セレックインレー 55,000~88,000円
-
セレック(e.max)インレー 77,000~99,000円
-
セレッククラウン 88,000~110,000円
-
セレック(e.max)クラウン 77,000~120,000円
注意点
- 自費診療になるため、保険診療に比べ費用がかかる。
- 患者様の症例によっては使用できない場合がある。
- 歯の色とブロックの色が合わない場合、色調調整が必要となるため、治療が1日で終わらないことがある。
- セラミックは衝撃に弱く、破損のリスクがある。
- 治療期間・回数
- 1~2週間・1~4回
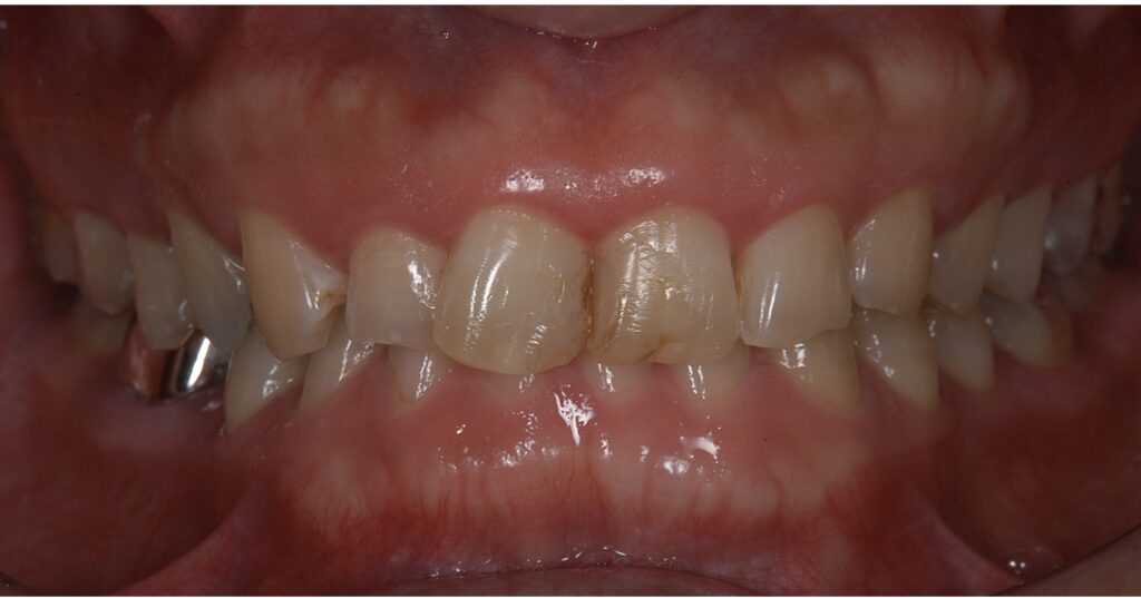
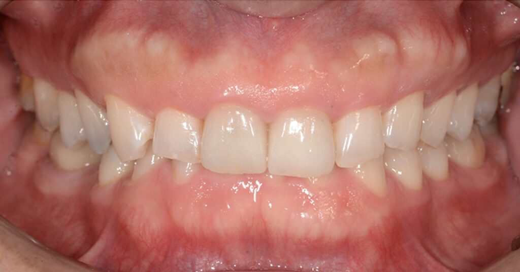
Case Introduction

Before

After
ホワイトニングの後、オールセラミッククラウン、セレックを用いた男性の場合
| 治療内容 | ホワイトニング治療後にオールセラミッククラウンとセレックによる審美治療を行いました。 |
|---|---|
| 治療期間・回数 | 1.5ヶ月・7回 |
| 治療費用 | 390,000円(税込) |
| リスク・副作用 | ・被せた歯でない場合、ホワイトニングの効果が約1年経過後から若干暗くなってくることもあり、その場合、再処置(有料)で受診される方がおられます。 ・保険適用ができない自費診療です。 |
セレック治療のよくある質問
セレック治療はどれくらいの期間かかりますか?
院内で修復物を作製するため、歯科技工所へ依頼する時間が不要です。お口の状態にもよりますが、最短の場合、ご来院いただいたその日のうちに治療が完了します。
セレック治療とセラミック治療の違いはなんですか?
作製方法が異なります。セレックは院内で歯科医師がコンピューターと機械を用いて作製し、従来のセラミック治療は、歯科技工所の専門歯科技工士が手作業で作製します。
セレック治療した歯は変色しにくいですか?
はい。セラミックは水分や色素を吸収しにくい材質です。保険診療で使われるプラスチックとは異なり、時間が経っても変色することはほとんどありません。
セラミックは長持ちしますか?
保険適用の材料と比べて耐久性は格段に優れています。歯と強固に接着しすき間もできにくいため、適切なケアを長期間使い続けられます。
金属アレルギーになりませんか?
セレック治療は金属を一切使用しないオールセラミックです。そのため、金属アレルギーをお持ちの方でも、アレルギー反応の心配なく安心して治療を受けられます。