
叢生(そうせい)
歯列弓のスペースが不足しているために、歯が重なり合ったり、捻れたりしている状態です。叢生は、歯垢の蓄積を助長し、虫歯や歯周病のリスクを高めます。また、歯ブラシが届きにくい部分ができるため、口腔衛生の維持が難しくなります。
Orthodontics

Orthodontic
歯は、体の健康を支える重要な器官の一つです。そのため歯並びやかみ合わせの乱れは、見た目の印象を損なうだけでなく、口腔機能の低下を招く可能性があります。矯正治療は、こうした問題を解決し、健康的で美しい口元を取り戻すための方法です。正しい位置に揃えられた歯は、食事の効率を上げ、消化器官の負担を和らげます。また、歯垢が溜まりにくくなることから、虫歯や歯周病の予防にもつながるのです。

歯列弓のスペースが不足しているために、歯が重なり合ったり、捻れたりしている状態です。叢生は、歯垢の蓄積を助長し、虫歯や歯周病のリスクを高めます。また、歯ブラシが届きにくい部分ができるため、口腔衛生の維持が難しくなります。

歯と歯の間に過剰なスペースがある状態を指します。空隙歯列は、発音の明瞭性を損ない、食べかすが溜まりやすくなります。また、隣り合う歯が傾いてくるなどの、二次的な歯列不正を引き起こすこともあります。

上の前歯が下の前歯に比べて著しく前に出ている状態です。上顎前突は、口唇の閉鎖不全や口呼吸、発音の問題などを引き起こすことがあります。また、前歯の突き上げや外傷のリスクも高くなります。

下の前歯が上の前歯よりも前方に位置している状態で、「受け口」とも呼ばれます。下顎前突は、かみ合わせの不調和や顎関節症、咀嚼機能の低下などを引き起こす可能性があります。

上の歯と下の歯の位置関係が左右で異なる状態を指します。交叉咬合は、片側での咀嚼を助長し、顔面の非対称や顎関節症などの問題を引き起こすことがあります。また、歯の異常な摩耗や歯周組織への過剰な負担も生じやすくなります。

上下の前歯が接触せず、開いたままの状態です。開咬は、前歯で食べ物を咬み切る機能を低下させ、発音の障害を引き起こすことがあります。また、口呼吸や舌突出癖などの悪習癖と関連することもあります。

上の前歯が下の前歯を大きく覆っている状態を指します。過蓋咬合は、前歯の異常な摩耗や歯周組織への過剰な負担を引き起こし、顎関節症の原因にもなり得ます。また、笑顔の印象を悪くするため、審美的な問題も生じます。
汚れがたまりやすく、
虫歯や歯周病の原因になる
息がもれて、
発音が不明瞭になる
舌が安定せず、
発音しにくい
すりつぶせず、
消化に負担がかかる
かみ合わせが悪く、
顎がゆがむ
顎のゆがみで、
肩こりや頭痛になる
見た目が気になり、
消極的になる
01

当院の矯正歯科は、日本矯正歯科学会の認定医が治療を担当します。
専門的な知識と豊富な臨床経験をもとに、一人ひとりにより良い矯正プランを提供。安心して治療を受けていただける体制を整えています。
02

当院では成人矯正や小児矯正、ワイヤー矯正やマウスピース矯正など、患者様の年齢や症状、ライフスタイルに合わせたより良い治療方法をご提案することが可能です。
軽度の歯並びの調整から複雑なかみ合わせの改善まで、幅広い症例に対応可能で、見た目の美しさと機能性を両立した治療を提供しています。

子どもの矯正と大人の矯正の大きな違いは、「顎の成長を利用できるかどうか」です。子どもの場合、骨の成長を利用して顎を広げ、歯が並ぶスペースを確保できます。一方、大人は成長が止まっているため、歯そのものを動かして歯並びを整えます。
また、大人で矯正治療を受ける方はモチベーションが高いことが多く、治療結果も良好になりやすい傾向があります。歯や歯ぐきが健康であれば、矯正治療は何歳からでも始められます。

歯にブラケットを直接接着し、ワイヤーで連結することで歯を動かす方法です。ワイヤー矯正は、強い矯正力を持続的に発揮できるため、複雑な歯列不正の改善に適しています。装置が固定式であるため、患者様の協力度に左右されにくいのも利点です。
ただし、装置が目立ちやすく、口腔衛生の管理にも注意が必要です。
| 料金 | 660,000~880,000円 |
|---|---|
| 治療期間・回数 | 8~60ケ月/10~65回 |
Merit
Demerit

透明なマウスピース型の装置を使用する矯正治療法です。
当院では、インビザラインとクリアコレクトを取り扱っています。
コンピュータシミュレーションに基づいて作製された一連のマウスピースを交換していくことで、歯を徐々に動かしていきます。透明な装置であるため、審美性に優れ、装置の着脱も可能です。

お子様の歯並び、気になっていませんか?
「乳歯の後ろから永久歯が生えてきた」「前歯がガタガタに重なっている」など、お子様の歯並びに不安を感じたら、ぜひ一度当院へご相談ください。
成長段階やお口の状態に合わせて、より良い矯正治療をご提案します。顎の成長を活かせる「小児矯正」なら、将来的により自然できれいな歯並びへ導くことが可能です。

床矯正装置は、アクリル床とワイヤーで構成され、装置内のスクリューやスプリングの力で歯を動かします。取り外し可能な装置で、装着時間を調整できるため、患者様の協力が得られやすいのが利点です。また、顎の成長を誘導する機能的な装置も床矯正に含まれます。
| 料金 | 110,000~330,000円 |
|---|---|
| 治療期間・回数 | 6~18ケ月/8~22回 |
Merit
Demerit

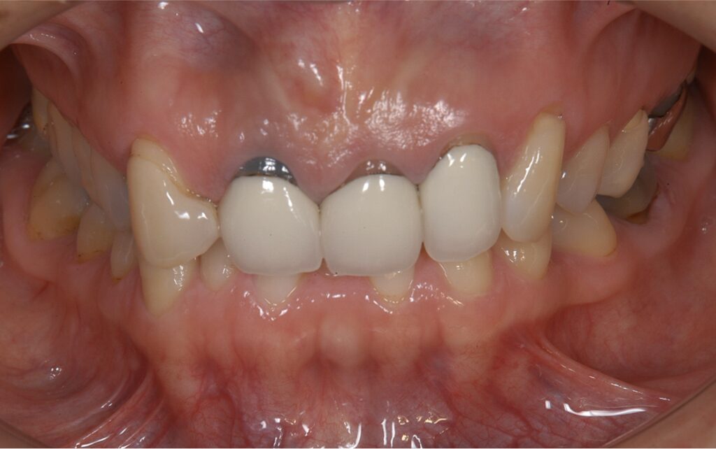
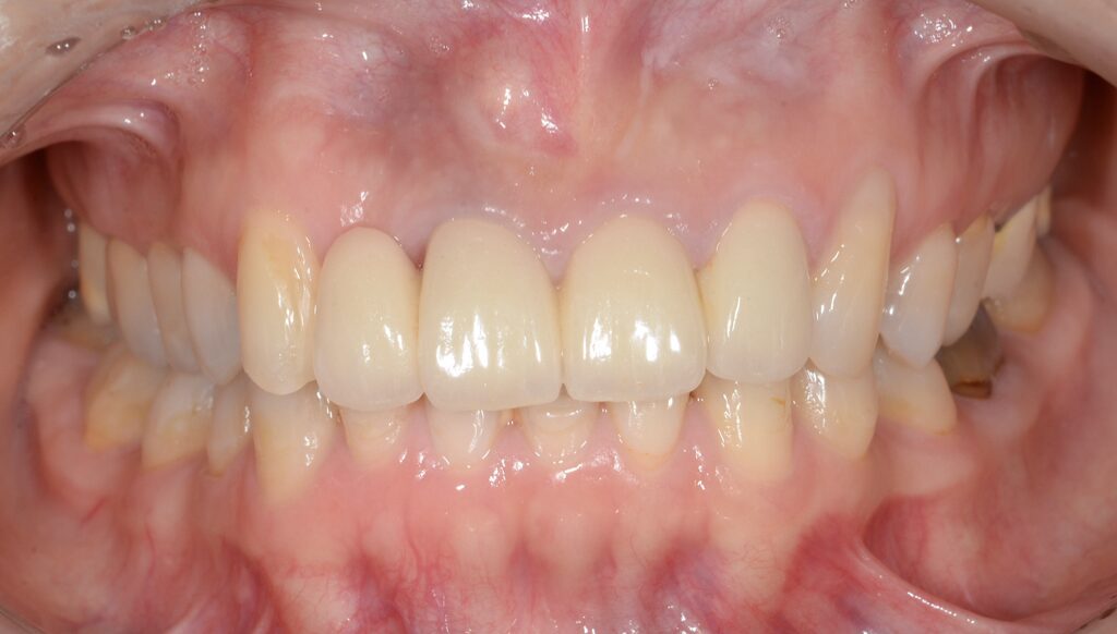
Before

After
| 治療内容 | 矯正治療とオールセラミッククラウンによる審美治療を行いました。 |
|---|---|
| 治療期間・回数 | 48ヶ月・60回 |
| 治療費用 | 1,110,000円(税込) |
| リスク・副作用 | ・歯並び治療後の綺麗な状態を維持するために保定装置(リテーナー)を装着する必要があります。 ・保険適用ができない自費診療です。 |
治療期間は症例により異なりますが、2年半から3年が一般的な目安となっています。この期間で歯を理想的な位置へ移動させ、その後は後戻りを防ぐため、約2年間リテーナーを装着していただきます。トータルの期間は長く感じられるかもしれませんが、一生使う歯への投資と考えれば、決して長すぎることはありません。
美しい歯並びは、実は健康な口腔環境の基盤となります。歯が正しく並ぶと、プラークコントロールが格段に向上し、その結果将来的に虫歯予防と歯周病予防につながります。
矯正装置周辺は磨き残しが生じやすく、虫歯リスクが高まります。そのため日々の丁寧なセルフケアが欠かせません。また定期通院でのプロフェッショナルケアと組み合わせれば、矯正中も健康な歯を維持する効果が期待できます。
難症例でも多くの場合、適切な治療計画により改善可能です。無料カウンセリングで詳しく診査させていただき、適切な治療方針をご提案いたします。まずは気軽にご相談ください。どんな歯並びのお悩みも、一緒に解決策を見つけていきましょう。