
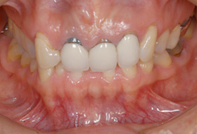
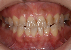
Before

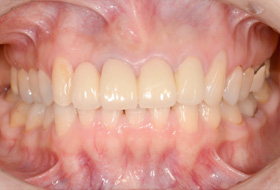
After
審美治療
八重歯をオールセラミックブリッジにて改善した症例
| 治療内容 | オールセラミックブリッジによって、八重歯の歯並びを改善しました。 |
|---|---|
| 治療期間・回数 | 3ヶ月・7回 |
| 治療費用 | 660,000円(税込) |
| リスク・副作用 | ・平行性を確保して被せ物を製作するために、やむを得ず歯を抜いたり、歯の神経の治療を行う場合もあります。 ・保険適用ができない自費診療です。 |
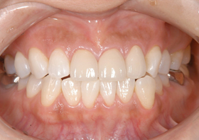
Case

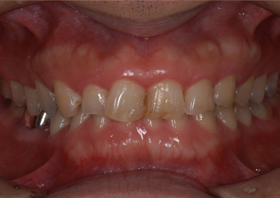
Before

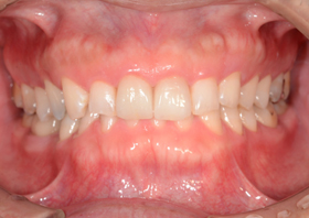
After
| 治療内容 | オールセラミックブリッジによって、八重歯の歯並びを改善しました。 |
|---|---|
| 治療期間・回数 | 3ヶ月・7回 |
| 治療費用 | 660,000円(税込) |
| リスク・副作用 | ・平行性を確保して被せ物を製作するために、やむを得ず歯を抜いたり、歯の神経の治療を行う場合もあります。 ・保険適用ができない自費診療です。 |

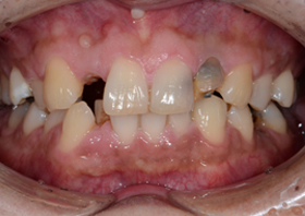
Before

After
| 治療内容 | 矯正治療とオールセラミッククラウンによる審美治療を行いました。 |
|---|---|
| 治療期間・回数 | 48ヶ月・60回 |
| 治療費用 | 1,110,000円(税込) |
| リスク・副作用 | ・歯並び治療後の綺麗な状態を維持するために保定装置(リテーナー)を装着する必要があります。 ・保険適用ができない自費診療です。 |

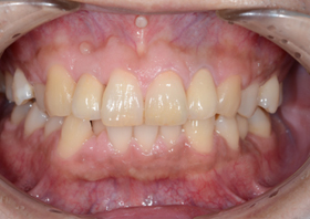
Before

After
| 治療内容 | インプラント手術とオールセラミックによる審美治療を行いました。 |
|---|---|
| 治療期間・回数 | 2ヶ月半・5回 |
| 治療費用 | 330,000円(税込) |
| リスク・副作用 | ・術後に痛み・腫れ・出血・合併症を伴う可能性があります。 ・術後も定期的なメインテナンスをしないと、機能が落ちやすくなります。 ・保険適用ができない自費診療です。 |

Before

After
| 治療内容 | ホワイトニング治療後にオールセラミッククラウンとセレックによる審美治療を行いました。 |
|---|---|
| 治療期間・回数 | 1.5ヶ月・7回 |
| 治療費用 | 390,000円(税込) |
| リスク・副作用 | ・被せた歯でない場合、ホワイトニングの効果が約1年経過後から若干暗くなってくることもあり、その場合、再処置(有料)で受診される方がおられます。 ・保険適用ができない自費診療です。 |

Before

After
| 治療内容 | ホワイトニング治療後にオールセラミッククラウンによる審美治療を行いました。 |
|---|---|
| 治療期間・回数 | 2ヶ月・7回 |
| 治療費用 | 480,000円(税込) |
| リスク・副作用 | ・オールセラミッククラウンを被せていない歯は経年的に白さが弱まるので、フォローのホワイトニングが必要です。 ・保険適用ができない自費診療です。 |