
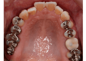
Before

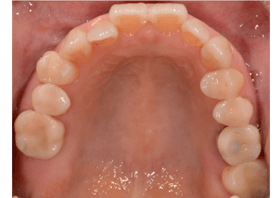
After
セレックホワイトニング審美治療
ホワイトニングの後、オールセラミッククラウン、セレックを用いた男性の場合
| 治療内容 | ホワイトニング治療後にオールセラミッククラウンとセレックによる審美治療を行いました。 |
|---|---|
| 治療期間・回数 | 1.5ヶ月・7回 |
| 治療費用 | 390,000円(税込) |
| リスク・副作用 | ・被せた歯でない場合、ホワイトニングの効果が約1年経過後から若干暗くなってくることもあり、その場合、再処置(有料)で受診される方がおられます。 ・保険適用ができない自費診療です。 |



