
Before

After
インプラント治療審美治療
インプラントとオールセラミックを用いた症例
| 治療内容 | インプラント手術とオールセラミックによる審美治療を行いました。 |
|---|---|
| 治療期間・回数 | 2ヶ月半・5回 |
| 治療費用 | 330,000円(税込) |
| リスク・副作用 | ・術後に痛み・腫れ・出血・合併症を伴う可能性があります。 ・術後も定期的なメインテナンスをしないと、機能が落ちやすくなります。 ・保険適用ができない自費診療です。 |
Case

Before

After
| 治療内容 | インプラント手術とオールセラミックによる審美治療を行いました。 |
|---|---|
| 治療期間・回数 | 2ヶ月半・5回 |
| 治療費用 | 330,000円(税込) |
| リスク・副作用 | ・術後に痛み・腫れ・出血・合併症を伴う可能性があります。 ・術後も定期的なメインテナンスをしないと、機能が落ちやすくなります。 ・保険適用ができない自費診療です。 |

Before

After
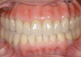
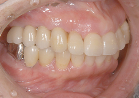
| 治療内容 | 上の歯と歯ぐきを作るインプラント治療 |
|---|---|
| 治療期間・回数 | 11ヶ月・27回 |
| 治療費用 | 3,200,000円(税込) |
| リスク・副作用 | ・多数のインプラントを用いる場合、セルフケアだけでなくプロフェッショナルケアが不可欠です。 ・保険適用ができない自費診療です。 |
| 備考 | 10年以上もの間、毎月1回のメンテナンスにご来院されています。歯の大切さ、インプラントの快適性を実感し、生活習慣、来院習慣を改善できたのが成功の要因です! |

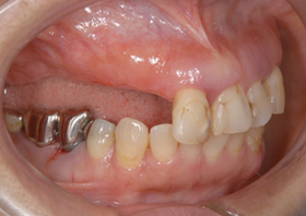
Before

After
| 治療内容 | 正確な診断のもとに的確な手術と、被せ物を作成すれば、まるで天然の歯のように仕上げることは可能です。だからこそ、完成後が大切! |
|---|---|
| 治療期間・回数 | 4ヶ月・8回 |
| 治療費用 | 1,060,000円(税込) |
| リスク・副作用 | ・多数のインプラントを用いる場合、セルフケアだけでなく定期的にプロフェッショナルケアが不可欠です。 ・保険適用ができない自費診療です。 |

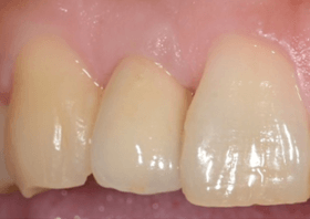
Before

After
| 治療内容 | 従来は失った1本の歯を回復する場合、隣の歯をグルリと全周削ってブリッジをかぶせるのが一般的でした。インプラントはとなりの歯を全く削ることなく、回復できることが画期的です。 |
|---|---|
| 治療期間・回数 | 3ヶ月・6回 |
| 治療費用 | 324,000円(税込) |
| リスク・副作用 | ・インプラント治療後のメンテナンスが必要です。 ・保険適用ができない自費診療です。 |
| 備考 | 1本の場合も、複数本の場合も完成後のメンテナンスが重要なことは同じです。美しさと快適性を守り続けるために、定期検診をお約束して頂ける方にのみ、インプラント治療をさせて頂きます。 |