
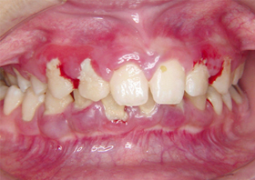
Before

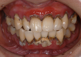
After
一般歯科(虫歯・歯周病)
若年層の歯周炎
| 治療内容 | 思春期の歯ぐきからの出血は痛みもなく進行しますが、実は、成人後の重度歯周病進行の予告です。この時期にしっかりしたホームケアと定期検診の習慣を身につけることが、一生涯の歯の長持ちに大きく寄与します。 |
|---|---|
| 治療期間・回数 | 10ヶ月・14回 |
| 治療費用 | 18,000円(保険内診療) |
| リスク・副作用 | ご家庭で丁寧なブラッシングと医院での定期的な歯石除去を繰り返さなければ再発の恐れがあります。 |

