
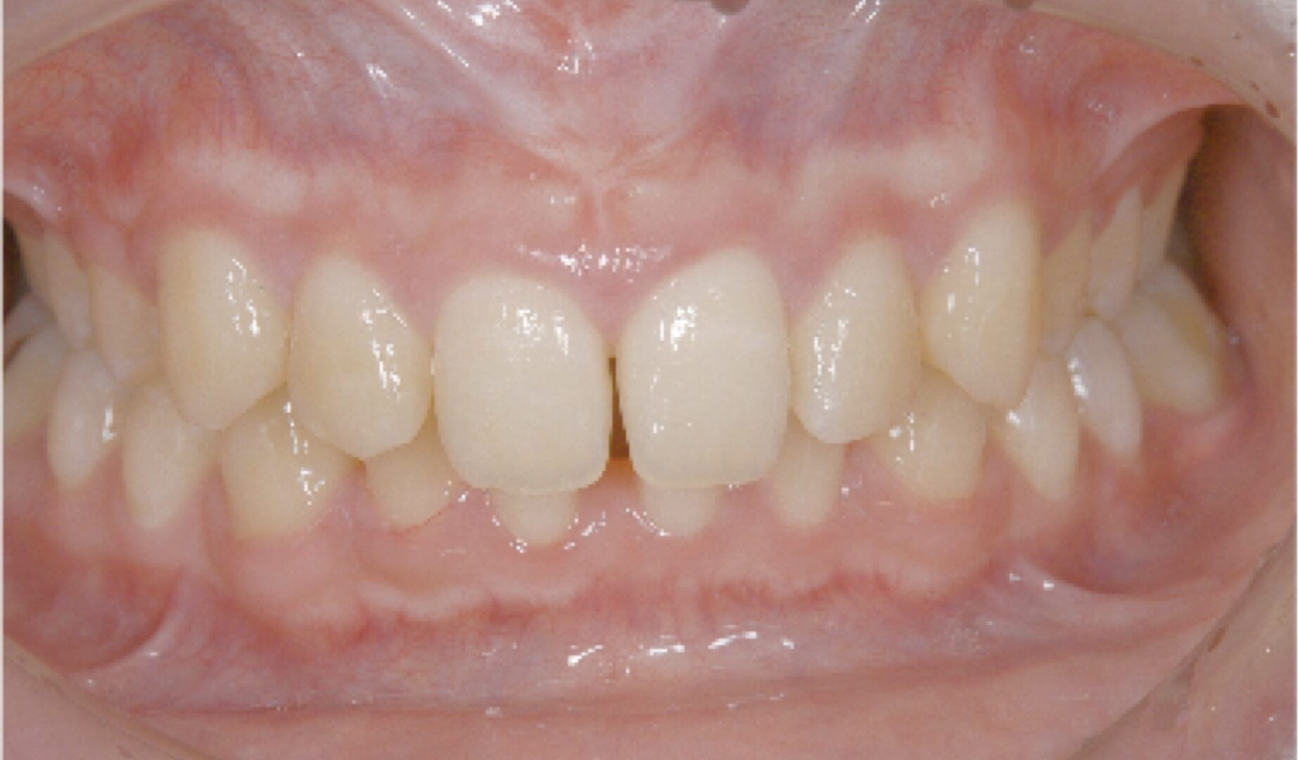
Before

After
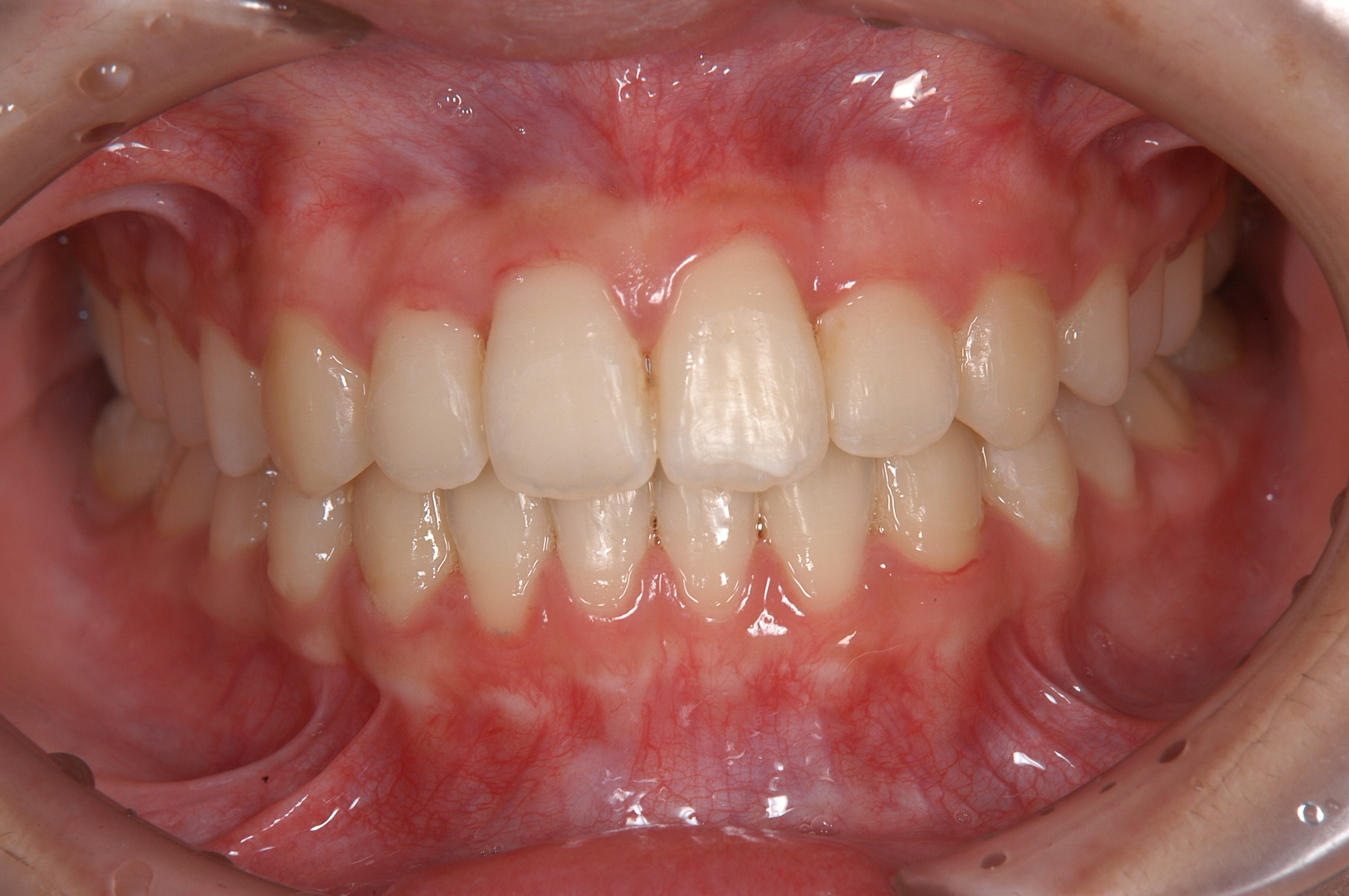
審美治療
八重歯をオールセラミックブリッジにて改善した症例
| 治療内容 | オールセラミックブリッジによって、八重歯の歯並びを改善しました。 |
|---|---|
| 治療期間・回数 | 3ヶ月・7回 |
| 治療費用 | 660,000円(税込) |
| リスク・副作用 | ・平行性を確保して被せ物を製作するために、やむを得ず歯を抜いたり、歯の神経の治療を行う場合もあります。 ・保険適用ができない自費診療です。 |
Case

Before

After
| 治療内容 | オールセラミックブリッジによって、八重歯の歯並びを改善しました。 |
|---|---|
| 治療期間・回数 | 3ヶ月・7回 |
| 治療費用 | 660,000円(税込) |
| リスク・副作用 | ・平行性を確保して被せ物を製作するために、やむを得ず歯を抜いたり、歯の神経の治療を行う場合もあります。 ・保険適用ができない自費診療です。 |

Before

After
| 治療内容 | 矯正治療とオールセラミッククラウンによる審美治療を行いました。 |
|---|---|
| 治療期間・回数 | 48ヶ月・60回 |
| 治療費用 | 1,110,000円(税込) |
| リスク・副作用 | ・歯並び治療後の綺麗な状態を維持するために保定装置(リテーナー)を装着する必要があります。 ・保険適用ができない自費診療です。 |

Before

After
| 治療内容 | インプラント手術とオールセラミックによる審美治療を行いました。 |
|---|---|
| 治療期間・回数 | 2ヶ月半・5回 |
| 治療費用 | 330,000円(税込) |
| リスク・副作用 | ・術後に痛み・腫れ・出血・合併症を伴う可能性があります。 ・術後も定期的なメインテナンスをしないと、機能が落ちやすくなります。 ・保険適用ができない自費診療です。 |

Before

After
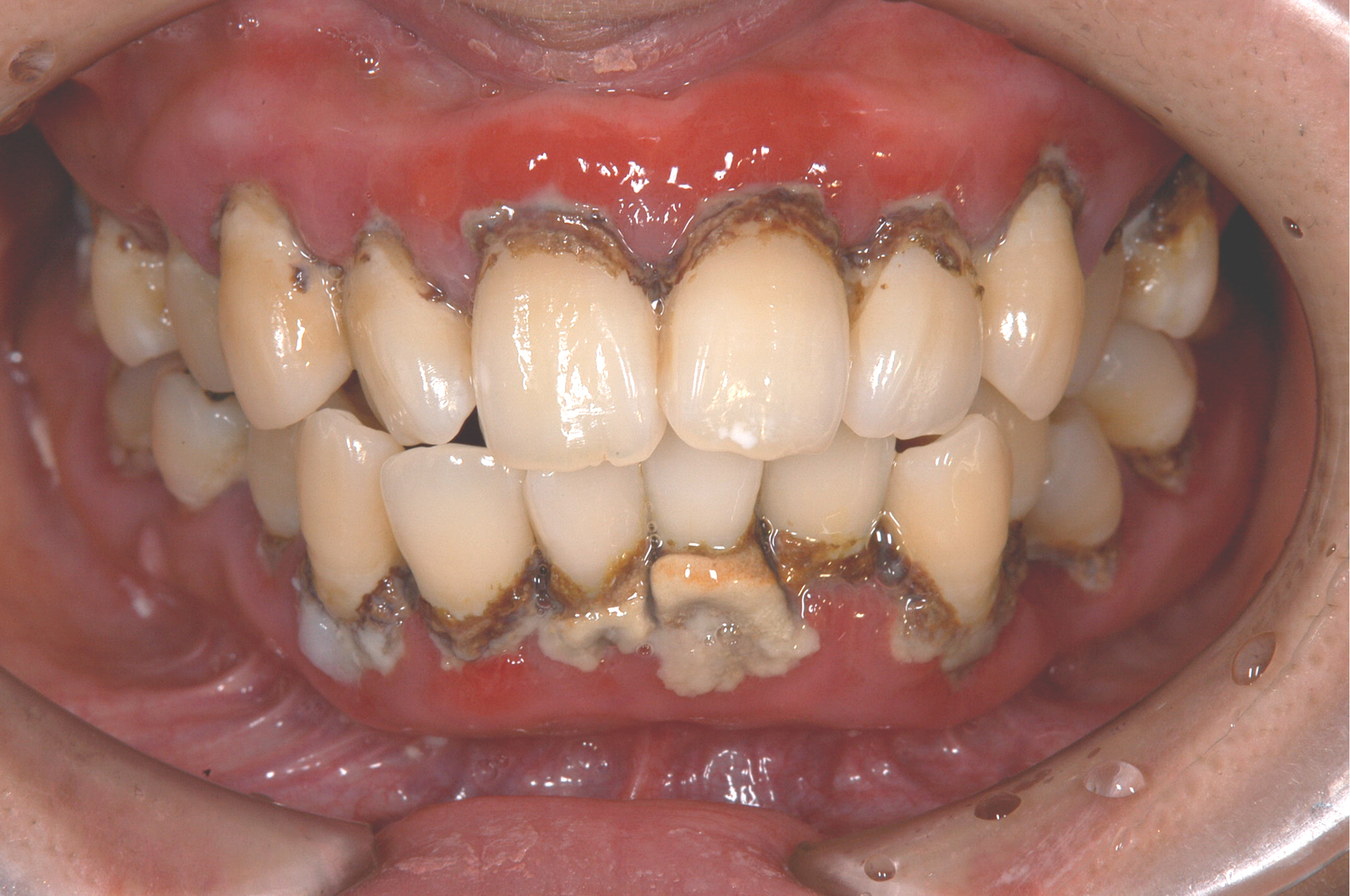
| 治療内容 | 思春期の歯ぐきからの出血は痛みもなく進行しますが、実は、成人後の重度歯周病進行の予告です。この時期にしっかりしたホームケアと定期検診の習慣を身につけることが、一生涯の歯の長持ちに大きく寄与します。 |
|---|---|
| 治療期間・回数 | 10ヶ月・14回 |
| 治療費用 | 18,000円(保険内診療) |
| リスク・副作用 | ご家庭で丁寧なブラッシングと医院での定期的な歯石除去を繰り返さなければ再発の恐れがあります。 |

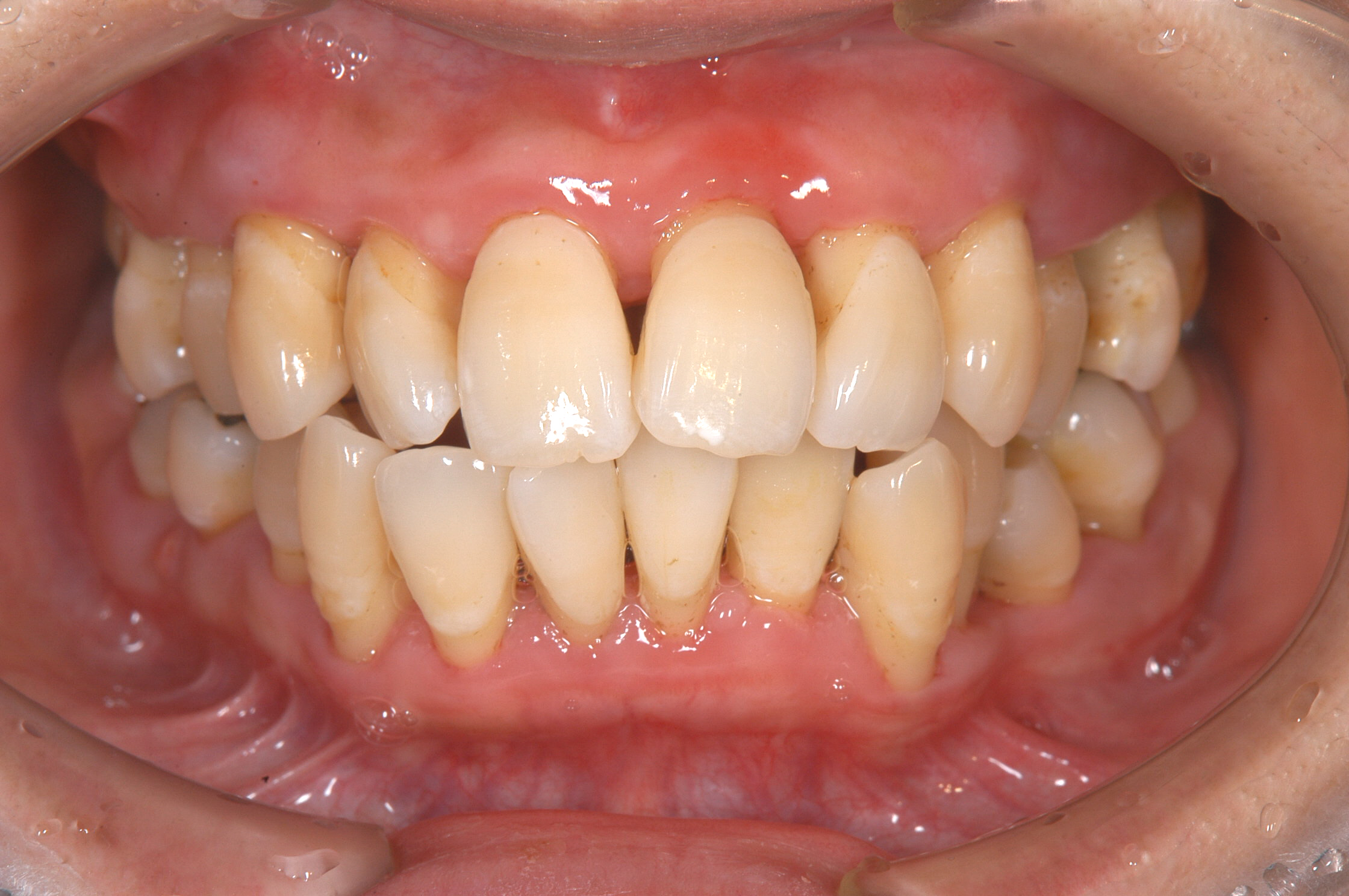
Before

After
| 治療内容 | 重度歯周病の治療 |
|---|---|
| 治療期間・回数 | 12ヶ月・25回 |
| 治療費用 | 70,000円(税込) |
| リスク・副作用 | ご家庭でのセルフケアと通院によるプロフェッショナルケアをしっかり行わないと悪化のスピードを止めることができません。 |
| 備考 | 進行した歯ぐきの状態(重度歯周病)でも、わたくしたち専門チームにお任せ頂ければ、かなりの歯を守ることができます! |

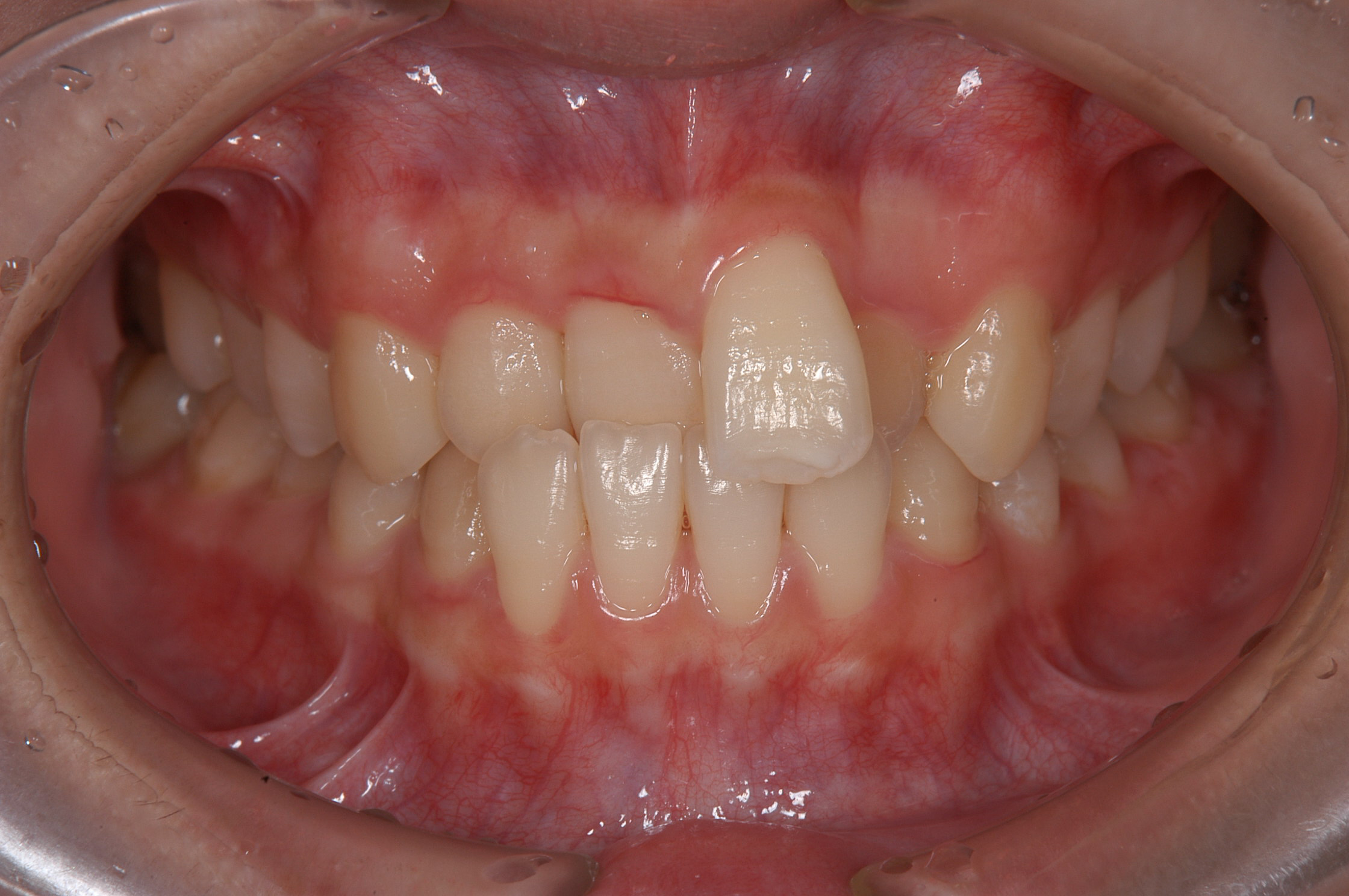
Before

After
| 治療内容 | 前歯の広いすき間に悩んで当院を受診されました。永久歯2本不足する上に、向かって左上の犬歯が骨の中に完全に埋まっていました。 |
|---|---|
| 治療期間・回数 | 2年6ヶ月・33回 |
| 治療費用 | 650,000円(税込) |
| リスク・副作用 | ・治療後の歯並びを守る保定装置は必須です。 ・保険適用ができない自費診療です。 |

Before

After
| 治療内容 | 1本の小臼歯も抜くことなく治療を完了することができれば理想的ですが、前歯が出っ歯になることが予測される場合や、上の歯ならびと下の歯ならびのバランスがとれそうもない場合、患者様と十二分に相談の上、必要な本数の小臼歯を抜く場合があります。 この症例では小臼歯4本を抜くことに同意して下さり、治療完了後の仕上りに、大変満足して頂けました。 |
|---|---|
| 治療期間・回数 | 3年2ヶ月・41回 |
| 治療費用 | 650,000円(税込) |
| リスク・副作用 | ・治療後の歯並びを守る保定装置は必須です。 ・保険適用ができない自費診療です。 |

Before

After
| 治療内容 | 1本の小臼歯も抜歯することなくわずか5ヶ月の矯正期間で治療を完了することができました。初診時アンバランスだった笑顔の口元も、完了時にはバランス良くキレイに整いました。 |
|---|---|
| 治療期間・回数 | 5ヶ月・11回 |
| 治療費用 | 570,000円(税込) |
| リスク・副作用 | ・矯正装置を装着中はハミガキが大変です。 ・治療後の歯並びを守る保定装置は必須です。 ・保険適用ができない自費診療です。 |

Before

After
| 治療内容 | ホワイトニング治療後にオールセラミッククラウンとセレックによる審美治療を行いました。 |
|---|---|
| 治療期間・回数 | 1.5ヶ月・7回 |
| 治療費用 | 390,000円(税込) |
| リスク・副作用 | ・被せた歯でない場合、ホワイトニングの効果が約1年経過後から若干暗くなってくることもあり、その場合、再処置(有料)で受診される方がおられます。 ・保険適用ができない自費診療です。 |

Before

After
| 治療内容 | ホワイトニング治療後にオールセラミッククラウンによる審美治療を行いました。 |
|---|---|
| 治療期間・回数 | 2ヶ月・7回 |
| 治療費用 | 480,000円(税込) |
| リスク・副作用 | ・オールセラミッククラウンを被せていない歯は経年的に白さが弱まるので、フォローのホワイトニングが必要です。 ・保険適用ができない自費診療です。 |