
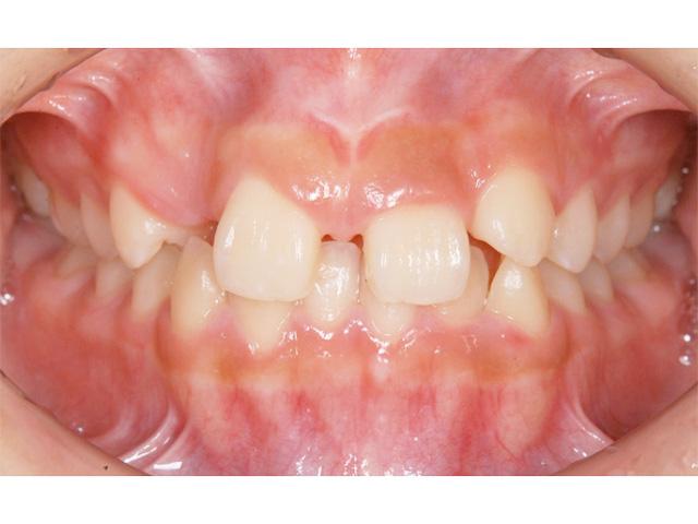
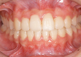
Before

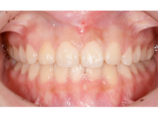
After
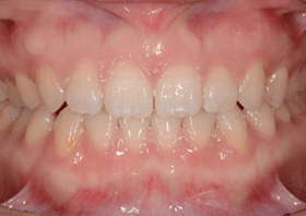
審美治療矯正治療
矯正治療とオールセラミッククラウンを応用した症例
| 治療内容 | 矯正治療とオールセラミッククラウンによる審美治療を行いました。 |
|---|---|
| 治療期間・回数 | 48ヶ月・60回 |
| 治療費用 | 1,110,000円(税込) |
| リスク・副作用 | ・歯並び治療後の綺麗な状態を維持するために保定装置(リテーナー)を装着する必要があります。 ・保険適用ができない自費診療です。 |
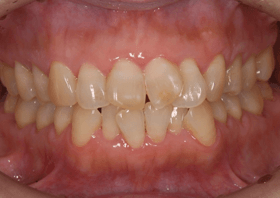
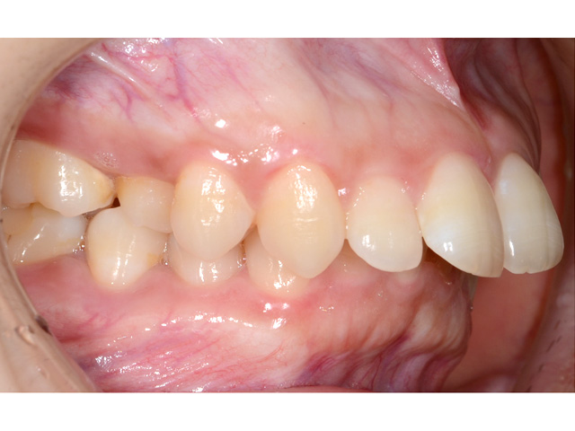
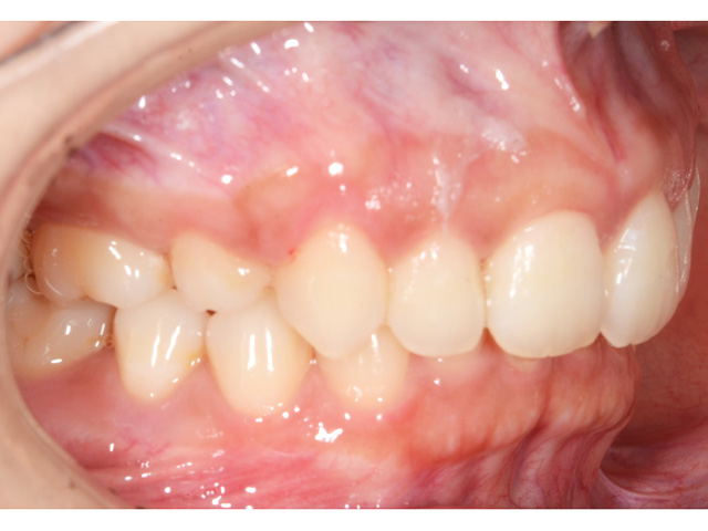
Case

Before

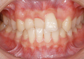
After
| 治療内容 | 矯正治療とオールセラミッククラウンによる審美治療を行いました。 |
|---|---|
| 治療期間・回数 | 48ヶ月・60回 |
| 治療費用 | 1,110,000円(税込) |
| リスク・副作用 | ・歯並び治療後の綺麗な状態を維持するために保定装置(リテーナー)を装着する必要があります。 ・保険適用ができない自費診療です。 |

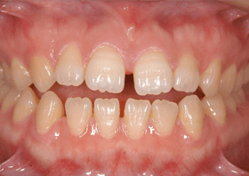
Before

After
| 治療内容 | 前歯の広いすき間に悩んで当院を受診されました。永久歯2本不足する上に、向かって左上の犬歯が骨の中に完全に埋まっていました。 |
|---|---|
| 治療期間・回数 | 2年6ヶ月・33回 |
| 治療費用 | 650,000円(税込) |
| リスク・副作用 | ・治療後の歯並びを守る保定装置は必須です。 ・保険適用ができない自費診療です。 |

Before

After
| 治療内容 | 1本の小臼歯も抜くことなく治療を完了することができれば理想的ですが、前歯が出っ歯になることが予測される場合や、上の歯ならびと下の歯ならびのバランスがとれそうもない場合、患者様と十二分に相談の上、必要な本数の小臼歯を抜く場合があります。 この症例では小臼歯4本を抜くことに同意して下さり、治療完了後の仕上りに、大変満足して頂けました。 |
|---|---|
| 治療期間・回数 | 3年2ヶ月・41回 |
| 治療費用 | 650,000円(税込) |
| リスク・副作用 | ・治療後の歯並びを守る保定装置は必須です。 ・保険適用ができない自費診療です。 |

Before

After
| 治療内容 | 1本の小臼歯も抜歯することなくわずか5ヶ月の矯正期間で治療を完了することができました。初診時アンバランスだった笑顔の口元も、完了時にはバランス良くキレイに整いました。 |
|---|---|
| 治療期間・回数 | 5ヶ月・11回 |
| 治療費用 | 570,000円(税込) |
| リスク・副作用 | ・矯正装置を装着中はハミガキが大変です。 ・治療後の歯並びを守る保定装置は必須です。 ・保険適用ができない自費診療です。 |

Before

After
| 治療内容 | 上の左右小臼歯を2本抜歯して、約3年でキレイな歯ならびに作り上げることができました。 |
|---|---|
| 治療期間・回数 | 3年・40回 |
| 治療費用 | 550,000円(税込) |
| リスク・副作用 | ・歯並び治療後の綺麗な状態を維持するために保定装置(リテーナー)を装着する必要があります。 ・保険適用ができない自費診療です。 |

Before

After
| 治療内容 | インビザラインによる治療で、術前に目立った上下、歯と歯の間のすき間がほぼ消失し、より知性的な口元を実現できました。 |
|---|---|
| 治療期間・回数 | 2年6ヶ月・34回 |
| 治療費用 | 560,000円(税込) |
| リスク・副作用 | ・治療後の歯並びを守る保定装置は必須です。 ・保険適用ができない自費診療です。 |